Τι είναι η ασπεργίλλωση;
Ο όρος “ασπεργίλλωση” περιλαμβάνει μια σειρά από νοσήματα που προκαλούνται από το μύκητα Aσπέργιλλο (Aspergillus) και μπορεί να εκδηλωθεί με διαφορετικές μορφές.
“Οι περισσότεροι άνθρωποι αναπνέουν σπόρια Ασπέργιλλου, χωρίς να εκδηλώνουν κάποια νόσο”
Στις περιπτώσεις, όμως, που το ανοσοποιητικό σύστημα του ανθρώπου υπολειτουργεί (ανοσοανεπάρκειες) ή όταν συνυπάρχει κάποιο αναπνευστικό νόσημα, τότε οι πιθανότητες εκδήλωσης νόσου λόγω του ασπέργιλλου αυξάνουν.
“Η κατάσταση του ανοσοποιητικού του κάθε ασθενούς επιδρά σημαντικά στην εκδήλωση της ασπεργίλλωσης”
Νοσήματα του αναπνευστικού που αυξάνουν την πιθανότητα εμφάνισης ασπεργίλλωσης είναι η κυστική ίνωση, το άσθμα, ένα ιστορικό φυματίωσης κ.α.
“Η ασπεργίλλωση δεν μεταδίδεται στον άνθρωπο από άλλο άνθρωπο ή ζώα”
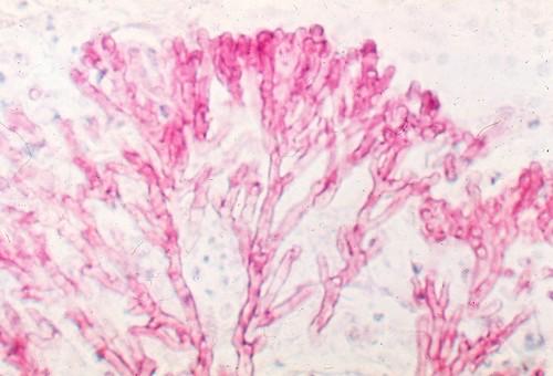
Ασπέργιλλος (Aspergillus)
Τα είδη του ασπέργιλλου (Εικόνα 1) είναι σαπροφυτικοί μύκητες. Μπορεί να βρεθούν σε εσωτερικούς χώρους ή εξωοικιακά, στο χώμα, σε φρούτα και λαχανικά που σαπίζουν, σε υγρά περιβάλλοντα, σε συστήματα κλιματισμού κ.α.
Εικόνα 1: Υφές του Aspergillus fumigatus flickr photo by Microbe World shared under a Creative Commons (BY-NC-SA) license.
Από τα περίπου 180 είδη Ασπέργιλλου, λιγότερα από τα 40 μπορούν να προκαλέσουν νόσο στον άνθρωπο. Τα συχνότερα είναι τα Aspergillus flavus, Αsp. niger, Αsp. terreus, Αsp. clavatus, Αsp. nidulans και -κυρίως- ο Aspergillus fumigatus.
“Ο ασπέργιλλος αναπτύσσεται στο ανθρώπινο σώμα”
Μία σημαντική παράμετρος σχετικά με την ικανότητα του Aspergillus fumigatus να προκαλέσει νόσο είναι η θερμοφιλικότητα του. Αυτό σημαίνει πως μπορεί να αναπτυχθεί στη θερμοκρασία σώματος του ανθρώπου, αλλά και υψηλότερα, μέχρι και τους 55oC, ενώ διατηρείται χωρίς να καταστρέφεται μέχρι και τους 70oC.
Πως μπορεί να εκδηλωθεί η ασπεργίλλωση;
Οι περισσότεροι άνθρωποι που θα εκτεθούν σε ασπέργιλλο δεν θα εκδηλώσουν κάποια νόσο. Στους ανθρώπους που θα εκδηλωθεί ασπεργίλλωση, η βαρύτητα μπορεί να ποικίλλει (Εικόνα 2). Στη σοβαρότερη της μορφή, τη διηθητική ασπεργίλλωση, η λοίμωξη από ασπέργιλλο είναι συστηματική.
Εικόνα 2. Πιθανές εκδηλώσεις ασπεργίλλωσης
“Ο ασπέργιλλος μπορεί να επιδράσει με διαφορετικούς τρόπους στον άνθρωπο”
Συνηθέστερα εμφανίζεται ως χρόνια βρογχοπνευμονική ασπεργίλλωση, ασπεργίλλωμα ή αλλεργική βρογχοπνευμονική ασπεργίλλωση. Η τελευταία, εμφανίζεται όταν το ανοσοποιητικό σύστημα στους πνεύμονες αναγνωρίζει και αντιδρά σε αντιγόνα του ασπέργιλλου (συνήθως του Aspergillus fumigatus).
Σοβαρό άσθμα με ευαισθητοποίηση σε μύκητες (SAFS)
Σε ασθενείς με άσθμα η ευαισθητοποίηση στον ασπέργιλλο -αλλά και σε άλλους μύκητες- συνεπάγεται αυξημένη βαρύτητα του άσθματος. Σε περιπτώσεις επαγόμενου από ασπέργιλλο άσθμα (AIA) η πνευμονική λειτουργία είναι περισσότερο επηρεασμένη, η απαιτούμενη αγωγή για τον έλεγχο του άσθματος είναι αυξημένη και συχνότερα χρησιμοποιούνται από του στόματος κορτικοειδή.
“Κάθε ασθενής με άσθμα θα πρέπει να ελέγχεται με τα αλλεργικά τεστ για ευαισθητοποίηση σε μύκητες”
Είναι τέτοια η συσχέτιση μεταξύ μυκήτων και σοβαρότητας του άσθματος, που αποτελεί ειδική κατηγορία για ένα σημαντικό ποσοστό ασθενών. Οι ασθενείς αυτοί πάσχουν από σοβαρό άσθμα με ευαισθητοποίηση σε μύκητες (SAFS). Οι βασικές προϋποθέσεις για να διαγνωσθεί ένας ασθενής με SAFS είναι οι:
- σοβαρό (ή ανεπαρκώς ελεγχόμενο) άσθμα,
- θετικός έλεγχος σε ασπέργιλλο (ή άλλους μύκητες) και
- τιμές της ολικής IgE (ανοσοσφαιρίνης Ε) μικρότερες των 1000 IU/mL.
Το ενδεχόμενο αντιμυκητιασικά φάρμακα να έχουν θέση στη θεραπεία των ασθενών με SAFS αποτελεί αντικείμενο μελέτης, με -αρχικά- ενθαρρυντικά αποτελέσματα.
Αλλεργική βρογχοπνευμονική ασπεργίλλωση (ABPA)
Στους ασθενείς με ABPA, σπόρια του A. fumigatus, που βρίσκονται στους βρόγχους ενεργοποιούν το ανοσοποιητικό σύστημα του ασθενούς και προκαλείται μία ανοσιακή απάντηση.
Ειδικότερα, προκειμένου να εμφανιστεί η ABPA, σπόρια ασπέργιλλου εισπνέονται και παγιδεύονται στους αεραγωγούς των ασθενών. Εκεί, πολλαπλασιάζονται και δημιουργούν συσσωματώματα, τις υφές). Ένζυμα και άλλα μόρια από τις υφές αλληλεπιδρούν με το ανοσοποιητικό σύστημα του ασθενούς, με αποτέλεσμα μία περίπλοκη ανοσολογική απάντηση.
Το αποτέλεσμα της παραπάνω απάντησης είναι δομικές βλάβες στους πνεύμονες (όπως βρογχιεκτασίες ή συγκλειστική (αποφρακτική) βρογχιολίτιδα (bronchiolitis obliterans). Οι μεταβολές αυτές γίνονται ευδιάκριτες, εάν οι ασθενείς υποβληθούν σε απεικονιστικό έλεγχο (ακτινογραφία ή -συνήθως- αξονική τομογραφία θώρακα).
Παράλληλα, τα παραπάνω συνοδεύονται και με συμπτώματα του ασθενούς, όπως: συριγμό (σφύριγμα) στην αναπνοή, δύσπνοια ή βήχα με συχνά πτύελα (φλέματα). Τα συμπτώματα αυτά συχνά προϋπάρχουν -ειδικά σε άσθμα- και πολλές φορές ο ασθενείς τα αντιλαμβάνεται ως μια επιδείνωση της νόσου του.
“Αυξημένο κίνδυνο να εκδηλώσουν αλλεργική βρογχοπνευμονική ασπεργίλλωση έχουν οι ασθενείς που πάσχουν από άσθμα ή κυστική ίνωση”
Στους ασθενείς με αλλεργική βρογχοπνευμονική ασπεργίλλωση συνυπάρχουν επίσης χαρακτηριστικά εργαστηριακά ευρήματα. Τέτοια είναι η αυξημένη ανοσοσφαιρίνη Ε (IgE) στον ορό και ειδικά για τον ασπέργιλλο αντισώματα (πρεσιπιτίνες)(Aspergillus fumigatus precipitins).
Σπανιότερα, η ABPA μπορεί να εμφανιστεί και σε ασθενείς που δεν πάσχουν από άσθμα. Όλα τα παραπάνω χρησιμοποιούνται για τη σωστή διάγνωση της αλλεργικής βρογχοπνευμονικής ασπεργίλλωσης και τον αποκλεισμών των άλλων νοσημάτων που μπορεί να συσχετιστούν με τον ασπέργιλλο.
Θεραπεία αλλεργικής βρογχοπνευμονικής ασπεργίλλωσης
Η θεραπευτική αντιμετώπιση της ABPA είναι συχνά πολυεπίπεδη. Οι στόχοι είναι να ελεγχθεί η φλεγμονή, να περιοριστούν οι παροξυσμοί και η προοδευτική καταστροφή του πνευμονικού παρεγχύματος.
“Η έγκαιρη διάγνωση της αλλεργικής βρογχοπνευμονικής ασπεργίλλωσης είναι σημαντική για τον περιορισμό της εξέλιξης της νόσου”
Η -εδώ πολλά χρόνια- βασική φαρμακευτική προσέγγιση στους ασθενείς με ABPA είναι τα από του στόματος χορηγούμενα κορτικοστεροειδή (χάπια κορτιζόνης). Τα κορτικοστεροειδή χρησιμοποιούνται συχνά για μεγάλο χρονικό διάστημα (3-5 μήνες), προκειμένου να περιορίσουν τις κλινικές εκδηλώσεις της νόσου.
Δυστυχώς, η μακρόχρονη χορήγηση χαπιών κορτιζόνης συχνά έχει σημαντικές παρενέργειες για τον ασθενή. Παράλληλα, σε κάποιους ασθενείς τα συμπτώματα ο περιορισμός δεν θα είναι ικανοποιητικός ή θα πρέπει -προκειμένου να επιτευχθεί- να λαμβάνει ο ασθενής συνεχώς κορτικοειδή (κορτικοεξαρτώμενη ασπεργίλλωση).
Στις περιπτώσεις αυτές έχουν χρησιμοποιηθεί επιπρόσθετα και αντιμυκητιασικά φάρμακα για την αντιμετώπιση της ABPA. Συχνότερα χρησιμοποιείται η ιτρακοναζόλη, αλλά σε κάποιες περιπτώσεις και άλλα, όπως η βορικοναζόλη και η ποσακοναζόλη. Τα αντιμυκητιασικά φάρμακα έχουν, όμως, αρκετά στενό θεραπευτικό εύρος. Αυτό, πρακτικά, σημαίνει πως θα πρέπει ο ασθενής να παρακολουθείται συχνά, ώστε να μην εμφανιστούν παρενέργειες.
Τα τελευταία χρόνια, σε ασθενείς που δεν αντιμετωπίζονται επαρκώς με τις παραπάνω επιλογές ή όταν εμφανίζονται ανεπιθύμητες αντιδράσεις, έχουν χορηγηθεί βιολογικοί παράγοντες. Η λογική της χρησιμοποίησης βιολογικών παραγόντων στους ασθενείς με αλλεργική βρογχοπνευμονική ασπεργίλλωση στηρίζεται και στην ισχυρή ανοσολογική απάντηση που χαρακτηρίζει τη νόσο.


